The outcomes of patients with lung metastases from giant cell tumor of bone (gctb) vary from spontaneous regression to uncontrolled growth. Giant cell carcinoma of the lung is an unusual form of pulmonary malignancy that follows an extremely aggressive clinical course.
While some authors consider this term to be synonymous with or being almost pathognomonic of hard metal pneumoconiosis 5,7.
Giant cell lung cancer. Giant cell carcinoma of the lung is an unusual form of pulmonarymalignancy thatfollows anextremelyaggressive clinical course. Their clinical presentation is not specific; Giant cell carcinoma of the lung (gccl) is a rare pscs subtype that consists entirely of highly pleomorphic tumor giant cells.
Giant cell carcinoma of lung can cause chest pain, breathing difficulties, fatigue, and other general signs and symptoms, such as fever, weight loss, and appetite loss; Giant cell carcinoma of the lung is an unusual form of pulmonary malignancy that follows an extremely aggressive clinical course. However, combined sclc and giant cell carcinoma (gc) is very rare.
It is a heterogeneous group of poorly differentiated carcinomas with two cell types: Giant cell carcinoma of the lung has been described as an aggressive tumor characterized by extensive local and distant disease and extremely short survival. The patient underwent left lower lobectomy and mediastinal.
By cyrus parsa, robert orlando, parham naghdechi & navneet k singh. Pulmonary giant cell carcinoma (pgcc) is a histological type of nonsmall cell lung cancer and classified as one of the five subtypes of sarcomatoid carcinoma of the lung. Combined large cell neuroendocrine carcinoma of the lungs (combined lcnec) with giant cell carcinoma is extremely rare.
Western university of health sciences, pomona, united states. More than 90% of sc is represented by pscgcc. It is clinically aggressive with inadequate response to antitumor chemotherapy, resulting in a very poor prognosis [ 4 ].
Giant cell carcinoma of the lung (gccl) is an uncommon and extremely aggressive variant of lung cancer. The prognosis of gccls is poor. Giant cell interstitial pneumonia is a rare form of pulmonary fibrosis.
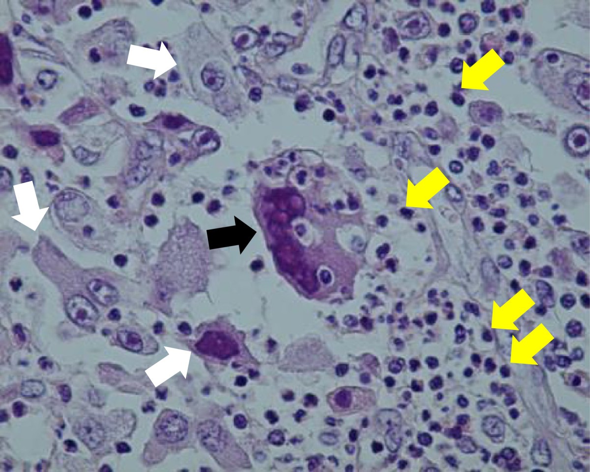
We report the clinical and roentgenographic manifestations of 14 patients with pathologically proven giant cell carcinoma of the lung, and compare our data to other reports in the literature. Hepatocellular carcinoma primary carcinoma of the liver cells with hepatomegaly, jaundice, hemoperitoneum, and other symptoms of the presence of an abdominal mass. Characteristic microscopic findings include marked pleomorphism, aggregates of mononucleated or multinucleated giant cells (or both), a general lack of architectural cohesiveness, extensive necrosis, and endocytosis by the giant cells.
Lung sarcomatoid carcinoma (sc) is a rare type of lung carcinoma with a poor prognosis, representing less than 1% of lung cancer. We report theclinical androentgenographic manifestations of 14 patients with pathologically proven giant cell carcinoma ofthe lung, and compare our data to otherreportsin theliterature. Giant cell carcinoma a poorly differentiated, highly malignant, epithelial neoplasm containing many large multinucleated tumor cells, such as occurs in the lungs.
The outcomes of patients with lung metastases from giant cell tumor of bone (gctb) vary from spontaneous regression to uncontrolled growth. Pleomorphic carcinoma is a poorly differentiated lung carcinoma with a mixture of giant cell carcinoma (gcc) and/or spindle cell carcinoma in various proportions, associated or not with an nsclc component (adenocarcinoma, scc, or undifferentiated carcinoma). It is currently considered a form of pneumoconiosis and in many situations is caused by exposure to metal compounds such as cobalt or tungsten carbide.
Pure pgcc is very rare. Computed tomography revealed a solid, round mass measuring 2.8 × 2.2 cm that was located in the left s9. However, this type of neoplasm is very aggressive,.
Giant cell carcinoma of lung giant cell carcinoma of lung hellstrom, h. In 1981, the world health organization defined giant cell carcinoma as a variant of large cell carcinoma. Sarcomatoid or sarcomatous morphology with giant and/or spindle cells.
In the current 2015 who classification, 3 subtypes are recognized: Giant cell carcinoma of lung with aberrant cytoplasmic localization of p63 protein. Giant cell adenocarcinoma of the lung giant cell adenocarcinoma of the lung herman, doris l.;
Chemotherapy, surgery, radiation therapy, and other treatment measures may be used for treating giant cell carcinoma of lung based on the assessment of the physician The prognosis of gccls is poor. Epidemiology they represent less than 0.5% of all nsclc 2.
While some authors consider this term to be synonymous with or being almost pathognomonic of hard metal pneumoconiosis 5,7. Pleomorphic, spindle cell, and giant cell carcinoma (pscgcc), carcinosarcoma and pulmonary blastoma.