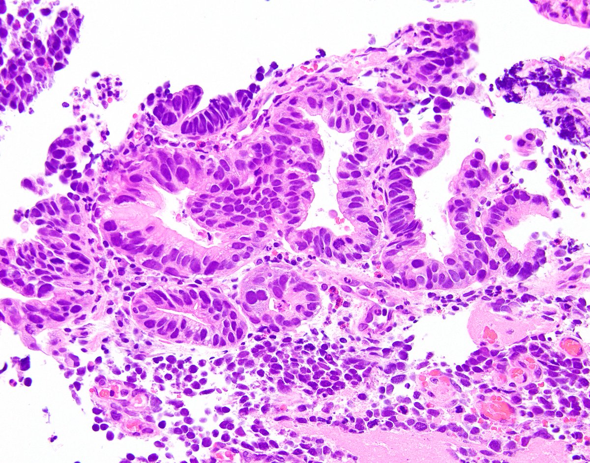
On immunohistochemistry there is positivity for epithelial marker ck 7 (b) and neuroendocrine marker cd 56 (c). Maximize the impact, reach and visibility of your next paper.
The patient also complained of.
High grade neuroendocrine carcinoma. The mitotic index is more than 10, meaning that a large number of cells are dividing, and generally the tumor has outgrown its blood supply in many areas, which leads to necrosis. Reviewed prospectively maintained databases from two institutions of patients who underwent hepatic resection for neuroendocrine neoplasms between 1990 and 2006. The oral combination of capecitabine and temozolomide is considered a good option in the management of metastatic net g3 and may be preferred.
Cervical cancer mixed high grade neuroendocrine treatment with topotecan chemo no 28 lung cancer is staged to classify the severity of the disease. Our daughter age 34 just had her 3rd baby 4 weeks ago, at the routine c section, her ovary was the size of a grapefruit. This section covers grading for nets.
The tumor demonstrates large cell neuroendocrine carcinoma morphology. They tend to grow quickly and are more likely to spread. These cells divide at a low rate and therefore grow slowly.
These tumors are nonsecretory and demonstrate aggressive clinical behavior 1 , 7. On immunohistochemistry there is positivity for epithelial marker ck 7 (b) and neuroendocrine marker cd 56 (c). 1 these thresholds were established by the european neuroendocrine tumor society (enets) based on a consensus of experts and are somewhat arbitrary.
Turns out after 3 weeks of pathology she is diagnosed with neuroendocrine carcinoma high grade. High grade, large cell and small cell neuroendocrine carcinoma: Salivary neuroendocrine carcinomas are exceedingly rare (am j surg pathol 2019;43:682) most are high grade (small cell or large cell neuroendocrine carcinoma) (head neck pathol 2018;12:13, head neck pathol 2013;7:295) metastases, especially from the skin, are much more common than primary tumors (am j surg pathol 2019;43:682) many previously reported.
The cells look very abnormal. High‐grade well‐differentiated neuroendocrine tumors (net g3) are considered a different entity from low‐grade net and neuroendocrine carcinoma in terms of prognosis and management. These cells divide at a fast rate and therefore grow quickly.
Immunostains show the tumor is positive for synaptophysin and chromogranin, with a ki67 index of 85%. Large cell neuroendocrine cancer (lcnec) and small cell lung cancer (sclc) are high grade or poorly differentiated lung nets. The cancer is in the lung and is typically a few centimeters (cm) in size, but smaller than about 3 inches.
By definition, neuroendocrine carcinomas are who grade 3. The patient also complained of. High levels of neuroendocrine carcinoma differ from normal neuroendocrine carcinoma, and the prognosis is weak.
The who grades for nets include: These cells divide at an intermediate rate. Poorly differentiated neuroendocrine carcinoma (see synoptic report and comment) comment:
Lacks the specific features of the other two ; For many, the primary disease may have been present for a number of months or even years, with no signs or symptoms, until the disease has spread elsewhere. A guide for patients and caregivers.
The staging of nsclc helps doctors choose the most appropriate course of treatment based on the likely outcome, referred to as the prognosis. 55 lcnec can be difficult to diagnose cytologically and to differentiate from sclc. Pet scan revealed thymus, lung, hip bone, 2 spots on her brain.
Ad publish your research with obstetrics and gynecology international. Grade 3 is also called poorly differentiated or high grade. It may or may not have spread to the lymph nodes on the same side of the chest where.
Maximize the impact, reach and visibility of your next paper. Find out about the types of lung nets.