Most patients return to work within six to 12 weeks, and those who have a standing or physically demanding job may return with restrictions. Lower back pain a year after l5 s1 surgery.
All types of exercise cause pain at l4/l5 to s1, seaticia pain left side from lower back, hip to ankle.
L5 s1 fusion surgery. L4, l5, s1 fusion surgery. My surgery was on friday august 23 and i came home on sunday. Now, just in the last 6 weeks, i am having a lot of back pain, tingling and numbness.
And yes i completely agree with what you say, the more you do causes more pain and flair ups. While performing a fusion surgery, the spinal fixation of the s1 segment usually presents a greater risk of failure (pseudarthrosis) compared to l5. Like many, i was nervous about the surgery and wanted answers.
I had my spinal fusion 5 years ago (l5 s1). Recovery time varies for patients who undergo spinal fusion surgery, however many patients return home within two to four days following surgery, according to mayfield clinic. If tlif is performed, then laminectomy and factectomy is performed using a microscope.
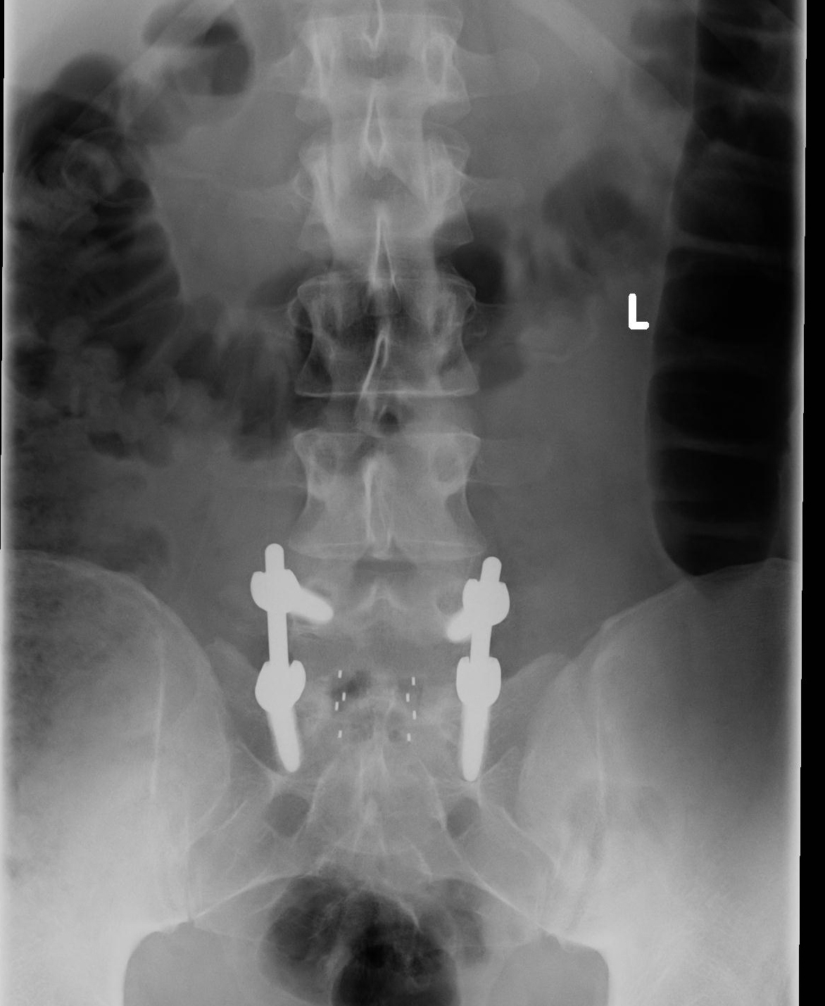
Find the perfect lumbar fusion l5 s1 surgery stock photo. Indications for l5 s1 fusion are debilitating pain and dysfunction arising from degenerative disc disease, slipped disc, fractures, recurrent herniation, sciatica, scoliosis, and spinal canal narrowing. Most patients return to work within six to 12 weeks, and those who have a standing or physically demanding job may return with restrictions.
I was so happy i had the surgery. Started by tallgirl on 11/08/2010 2:46pm. Started by tallgirl on 11/08/2010 2:46pm.
An l5/s1 interbody fusion is a. No need to register, buy now! The alif approach has demonstrated high fusion rates, good radiological outcomes, good restoration of disc height & lordosis, and also a reduced risk for dural injuries (3,7,8).
I had an l5/s1 laminectomy 13 years ago with great success by the same surgeon. I knew sitting in the car would be terribly painful especially due to the ride being almost 2 hours. The goals of the surgical management are:
During my 2 days in the hospital i dreaded the ride home. It went great and i was back to my normal activity of doing step aerobics, playing tennis and spin classes. Alif is particularly useful for procedures at the l4/l5 & l5/s1 level as it allows excellent visualization and access to ventral surface of the disc space.
Spinal fusion surgery l5 s1 a member asked: The hardware (2 plates 6. Huge collection, amazing choice, 100+ million high quality, affordable rf and rm images.
My wife and a friend picked me up for the ride. A spine fusion surgery involves using bone graft to cause two vertebral bodies to grow together into one long bone. Good afternoon, i am preparing for an l4/l5/s1 fusion, both anterior and posterior minimally invasive procedure using bmp cages to replace the disk and 6 screws with 2 rods.
I found so much negativity online that i decided to tell my experience and give a current account of what it was like. All patients were placed in a similar presurgery and postsurgery rehabilitation protocol and had failed nonsurgical treatment options. But i didn�t miss a day of work (univ prof).but that christmas vacation in 1995 was a stay at home.
I had an l5/s1 laminectomy 13 years ago with great success by the same surgeon. I�m worried i might need another surgery. All types of exercise cause pain at l4/l5 to s1, seaticia pain left side from lower back, hip to ankle.
Pain 10 years after a spinal fusion l5/s1. Bone graft can be taken from the patient�s hip (autograft bone) during the spine fusion surgery, harvested from cadaver bone (allograft bone), or manufactured. Good afternoon, i am preparing for an l4/l5/s1 fusion, both anterior and posterior minimally invasive procedure using bmp cages to replace the disk and 6 screws with 2 rods.
What to do if i had surgery (tlif l4 5 l5 s1) and recently found out that what to do if i had a failed fusion.? answered by dr. Lower back pain a year after l5 s1 surgery. L5 s1 fusion is major surgery whereby the l5/s1 disc is removed and the l5 and s1 spinal bones are stabilized by hardware.
Avila connor berlin roger härtl as the evolution of spinal surgery continues, there has been a transition from open approaches to more minimally invasive spine (mis) techniques. L4, l5, s1 fusion surgery. I am having surgery on the 12th of this january