Allogeneic hsct is a curative treatment for myelofibrosis, but the application of hsct in pmf setting was limited mainly because of concerns regarding advanced bone marrow fibrosis, which may. Approximately 16,000 to 18,500 people in the united states have mf.
Allogeneic hsct is a curative treatment for myelofibrosis, but the application of hsct in pmf setting was limited mainly because of concerns regarding advanced bone marrow fibrosis, which may.
Myelofibrosis bone marrow transplant. Myelofibrosis (mf) is a chronic myeloproliferative neoplasm (mpn) affecting mainly elderly people, with a median age at diagnosis of over 65 years. Donor type is an important predictor of outcome in myelofibrosis: A stem cell transplant is the only treatment that can cure myelofibrosis.
A study from the center for international blood and marrow transplant research (cibmtr) on 233 transplants for myelofibrosis , showed that donor type was an independent risk factor for trm, with a relative risk of death of 3.92 for matched unrelated donor (mud) and 9.37 for mismatched unrelated. Kroger n, kvasnicka m, thiele j. Treating my myelofibrosis with a stem cell transplant.
Approximately 16,000 to 18,500 people in the united states have mf. It is usually a disease of older patients and most people are around 65 years old when diagnosed. Allogeneic transplantation is the only curative therapy.
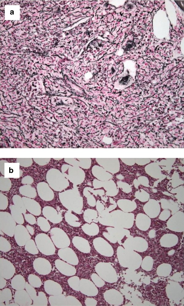
Replacement of hematopoietic system by allogeneic stem cell transplantation in myelofibrosis patients induces rapid regression of bone marrow fibrosis. My sister was only a 50% match, and dr. It improves the survival rate of the patients up to 3 to 5 years after the procedure.
In this study, we analyzed the outcomes of 320 patients receiving allogeneic hematopoietic stem cell transplants for myelofibrosis between 1989 and 2002,. Myelofibrosis is a rare kind of blood cancer that keeps your body from making the blood cells you need to be healthy. Salit rb, scott bl, stevens ea, baker kk, gooley ta, deeg hj.
Replacement of hematopoietic system by allogeneic stem cell transplantation in myelofibrosis patients induces rapid regression of bone marrow fibrosis. [pmc free article] [google scholar] If left untreated, it could turn into leukemia.
Allogeneic hematopoietic stem cell transplantation is curative in myelofibrosis, and current prognostic scoring systems aim to select patients for transplantation. Patients with primary myelofibrosis who underwent a first allogeneic bone marrow or peripheral blood stem cell transplant using an hla matched sibling donor, unrelated donor (urd), or alternative related donor between the years 1989 and 2002 were eligible if. Kroger n, kvasnicka m, thiele j.
A bone marrow aspiration revealed i’d developed myelofibrosis, a type of bone cancer. Myelofibrosis is typically treated with a stem cell transplant, so i started working with uday popat, m.d., to find a donor. Myelofibrosis (mf) is a disease of the blood forming system characterized by varying degrees of bone marrow scarring/fibrosis and disordered production of blood cells.
Bone marrow transplantation is the only curative method for myelofibrosis. Splenectomy before allogeneic stem cell transplantation (asct) for patients with myelofibrosis (mf) remains a matter of debate, and conflicting results have been reported to date. Data from the center for international blood and marrow transplant research (cibmtr) and european.
It is effective in primary myelofibrosis in spleen and liver are not severely damaged. An acquired somatic mutation, jak2v617f, was recently discovered in most patients with polycythemia vera (pv), chronic idiopathic myelofibrosis (cimf), and essential thrombocythemia (et). Allogeneic hsct is a curative treatment for myelofibrosis, but the application of hsct in pmf setting was limited mainly because of concerns regarding advanced bone marrow fibrosis, which may.
Allogeneic stem cell transplantation (hct) is the only curative therapy for myelofibrosis (mf). Myelofibrosis is a myeloproliferative disorder characterized by splenomegaly, bone marrow fibrosis and immature white and red blood cells.